Dental problems can occur at any time, such as on the weekends when most denal clinics are closed. To manage discomfort and stop additional harm, it might be quite helpful to know how to deal with these emergencies. To make sure you’re ready and know when to get professional assistance, this guide will outline the crucial actions you should take in the event of a common dental emergency. In the event of an awful toothache or a knocked-out tooth, knowing what to do will keep you calm and protect your oral health.
The following six indicators indicate that it’s time to schedule a checkup at your dental facility.
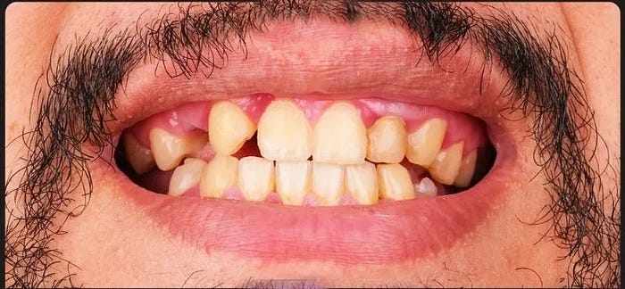
Press enter or click to view image in full size

You’re in excruciating pain
Don’t accept suffering! You should get in touch with local dental clinic to find a solution if your oral discomfort is so severe that it prevents you from going to work or school. Since toothaches and gum pain are typically signs of a more serious problem, treatment may be required to address the issue.You’re in some kind of discomfort
Seeing your dentist doesn’t require you to be in excruciating pain. It’s critical that you get in touch with your dentist if you experience jaw or oral pain so that they can determine whether any necessary treatment can be implemented. Your dentist in Cohuna will be able to inspect your mouth and investigate the possible source of the pain.There’s bleeding in your mouth
Gum disease, which can be treated if detected early, is frequently indicated by bleeding gums. In any case, you should schedule an appointment with your local dentist to find out where the blood is coming from and why it could be bleeding.Your tooth is broken or chipped
Nobody enjoys being shocked by dental damage! To fix a chipped or cracked tooth, schedule an appointment with your dentist. Your dentist clinic might also use this as an opportunity to make sure your mouth is free of additional harm. Those who want to repair their smile may consider cosmetic dentistry.You have lost a tooth
People who have lost a tooth, whether at random, while playing sports, or while eating, have a variety of treatment choices. To prevent your jaw from weakening over time and to prevent any interference with your ability to chew and consume, it is crucial to fill the gap.Something isn’t exactly correct
There are numerous ways that our teeth and gums can be impacted, and emergency dentistry is a highly appreciated service that offers advice and care to those who might not be aware of what is going on. The best course of action is to get in touch with your dentist and schedule a consultation if you’re feeling nervous or unsure about a change in your dental health.
Bottom Line
At Swan Hill Smiles, we recognises that dental emergencies can happen at any time. We ensure that your dental health is in good hands when you visit our dentist in Cohuna. Our dedicated team is here to deliver the outstanding care you deserve, whether you’re struggling with an unforeseen tooth emergency or just need a routine checkup. Visit us & experience the convenience and commitment to your dental health at our practice.
Disclaimer: This is generic Information & post; content about the services can be changed from time to time as per your requirements and contract. This is written for only SEO purposes; we are not claiming it is 100% accurate as it’s general content. The images we use in this context have been taken from the official Swan Hill Smiles website. Contact us today or visit our website to get the latest and updated information.


Write a comment ...